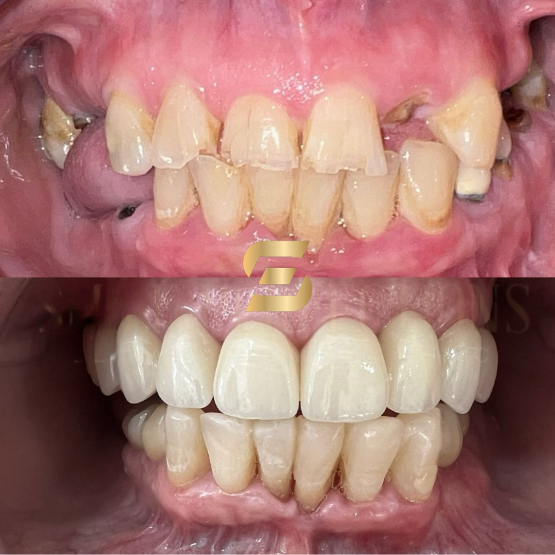
Complete mouth dental implants: Your options explained
If you’re missing most or all of your teeth, you may be wondering what the best long-term solution is. Dentures can be uncomfortable and unreliable, while bridges may not be suitable if you’ve lost several teeth. That’s where complete mouth dental implants come in — offering a secure, permanent and natural-looking option to restore your smile and confidence.
At Smile Perfections in Leicester, we offer expert implant dentistry backed by years of clinical experience. Whether you’re exploring all on four dental implants or want to understand how much a full set of dental implants in the UK might cost, this guide will help you make an informed decision.
What are complete mouth dental implants?
Complete mouth dental implants are designed for patients who have lost most or all of their teeth. Instead of replacing each tooth with an individual implant, several implants are placed strategically in the jaw to support a full arch of replacement teeth.
There are different types of full-mouth solutions, but one of the most popular options is all on four dental implants. This method uses just four implants to support a complete set of upper or lower teeth, making it less invasive and more cost-effective.
Learn more about our dental implant treatments in Leicester.




What are all on four dental implants?
All on four dental implants involve placing four titanium implants in the jawbone — two at the front and two angled at the back. This gives excellent support for a full arch of teeth without the need for a separate implant for each tooth.
Benefits include:
- Same-day teeth in many cases
- Fewer implants required
- Shorter recovery time
- Strong, long-lasting support for fixed teeth
At Smile Perfections, we offer Teeth in a Day, a service where suitable patients can have their implants and temporary teeth fitted on the same day.
How much is a full set of dental implants in the UK?
One of the most common questions we get is: how much is a full set of dental implants in the UK? The cost can vary depending on your treatment plan, bone density, and whether any additional procedures like bone grafting are needed.
On average, a complete set of dental implants (upper and lower arches) can range from £10,000 to £25,000 or more. This includes consultation, scans, surgery, and final restoration. All on four dental implants tend to be more cost-effective than traditional methods.
We always provide a clear breakdown of costs before starting treatment. For a personalised quote, get in touch with our team.
What is the process like?
Here’s what to expect when you choose complete mouth dental implants at Smile Perfections:
- Initial consultation
We assess your oral health, take 3D scans, and discuss your goals. - Treatment planning
We create a detailed plan tailored to your jaw structure and needs. - Implant surgery
Implants are placed under local anaesthetic or sedation. - Temporary teeth
With Teeth in a Day, we may fit temporary teeth immediately. - Healing period
Over 3–6 months, the implants fuse to your jawbone. - Final restoration
Permanent teeth are fitted for a natural, functional smile.
We’re with you at every stage to make the process as smooth and comfortable as possible.
Why choose Smile Perfections?
Choosing the right dental practice for something as important as complete mouth dental implants can feel overwhelming — but at Smile Perfections, we make it simple.
Here’s why so many patients trust us with their smiles:
- Highly experienced team
Our implant dentists have decades of combined experience in advanced restorative and implant dentistry. - Dental Phobia Certified & sedation available
Nervous about dental treatment? We’re certified to treat patients with dental anxiety and offer gentle sedation options to help you feel relaxed and in control. - Five-star rated practice
With consistent 5-star reviews from happy patients, we’re proud of the trust we’ve built through excellent care and real results. - Award-winning dental practice
Smile Perfections is recognised for excellence in patient care, innovation and clinical results. You’re in award-winning hands. - Latest technology
We use 3D imaging and computer-guided planning for precision, safety and predictability. - Teeth in a Day
For many patients, we can replace missing teeth in just one visit with our Teeth in a Day service. - Patient-centred approach
Your comfort, goals and confidence are at the heart of what we do. - Transparent pricing
No hidden extras. You’ll get a clear, honest breakdown of costs before treatment begins.
We welcome you to discover the Smile Perfections difference. Get in touch to book your consultation today.
Ready to transform your smile?
If you’re considering complete mouth dental implants, the team at Smile Perfections is here to help. From your first consultation to your final smile, we focus on providing expert care, lasting results and a smooth experience.
Explore our Teeth in a Day options or book your consultation today to take the first step towards a confident, complete smile.
Frequently asked questions
Most patients with missing teeth are candidates, but a full assessment is needed to check bone health and oral condition.
With proper care, implants can last 20 years or more. Regular check-ups and good oral hygiene are essential.
Most patients report only mild discomfort. Sedation and anaesthetic options are available for your comfort.
Yes. Once healed, you can enjoy all your favourite foods again without worry.
Contact us today to book a consultation and find out if you’re a candidate for full-mouth implants.